.png)
Dentistas especializados irão estudar seu caso, respeitando a história que só o seu sorriso carrega
.png)
Anexo ao Shopping Nova América
Somos uma Clínica Particular
.jpeg)
Cirurgião Dentista com 28 anos de experiência clínica sendo 20 anos dedicados a implantes dentários e reabilitação oral
Mais de 300 casos de sucesso em reabilitação oral, incluindo implantes e lentes de contato dentais para transformação de sorrisos
Atendimento humanizado, ético e individualizado, onde cada sorriso importa - do planejamento ao resultado final
Cirugião Dentista Formado na Universidade Federal Fluminense (UFF)
Pós-Graduado em Implantodontia e Reabilitação Oral
Atendimento ético e humanizado, onde seu caso será estudado individualmente!
.png)
Aumento da linha de sorriso através da aplicação de plástica gengival, combinada ao clareamento dental
.png)
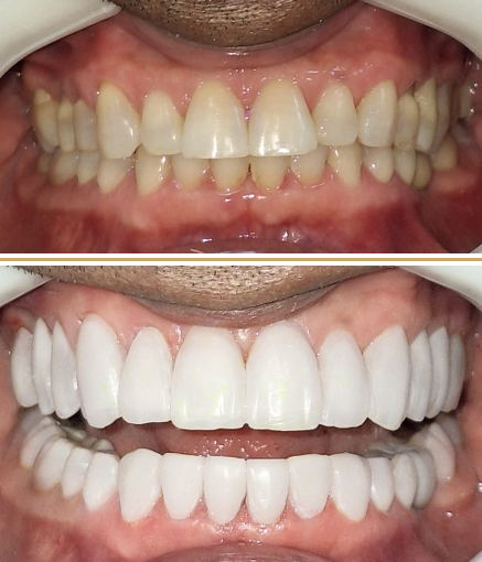
Aplicação de lentes de contato dentais em resina para transformação de um sorriso
.png)
Aumento da linha de sorriso através da aplicação de plástica gengival, combinada ao clareamento dental
Priscilla Cardoso
"Não consigo encontrar um bom serviço como este onde eu moro, não me importo em viajar dos Estados Unidos para visitá-lo uma vez por mês, vale cada milha... Doutor José Roberto é um excelente profissional. Excelente atendimento e preço!!"
Ana Newlands
"Alívio enorme dar tudo certo, não sentir dor e resolver o problema. Tive a sorte de meu dentista de Búzios me aconselhar à ele. Muito raro encontrar dentista bom como ele!"
Priscila Liz
"Melhor experiência que já tive em atendimento odontológico, valores justos e facilidade de pagamento. Atendem todos os casos com experiência e muito afeto. Já levei minha família e indico para os amigos. As meninas da recepção são sempre muito solicitas e gentis. Recomendo muitíssimo."
Soluções completas em odontologia, com profissionais especializados e tecnologia de ponta para o seu sorriso

O procedimento de colocação de implantes dentários pode ser muito simples, além de ser indicado para um grande número de pacientes

O cirurgião dentista realizará o diagnóstico e planejamento do tratamento adequado, seja para solucionar cárie dental ou para resolução de questões estéticas do sorriso do paciente

A área de cirurgia oral é a responsável por todos os atos cirúrgicos relacionados ás extrações de dentes, tais como a remoção de freios labiais e linguais, implantes, enxertos gengivais e ósseos, plástica gengival (aumento da linha de sorriso), bem como qualquer intervenção cirúrgica visando reestabelecer a saúde oral

O clareamento dentário é um dos procedimentos odontológicos estéticos mais procurado atualmente

Dependendo do diagnósticos inicial, o tratamento de canal pode ser realizado em apenas uma sessão de atendimento

Para pessoas que tem dentes em má posição, o aparelho ortodôntico é o dispositivo utilizado para fazer seu alinhamento, corrigindo dentes mal posicionados que interferem diretamente na função mastigatória e estética
Quer transformar o seu sorriso? Entre em contato e agende sua avaliação!
Clique no mapa para explorar direções e informações de estacionamento
Anexo ao Shopping Nova América
Av. Pastor Martin Luther King Jr., 126
OFFICE 2000 - Sala 122
Del Castilho, Rio de Janeiro - RJ
20765-000
(21) 9 7724-0480
Segunda - Sexta: 8:00 - 18:00
Sábados: 9:00 - 13:00
Domingos: Fechado
.png)
Anexo ao Shopping Nova América
Somos uma Clínica Particular